微信扫码搜题

当前位置:

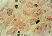
患者20岁,高热,贫血及全身淋巴结肿大。图示患者骨髓活检组织学图片,免疫组化染色呈LCA和CD30阳性。首先应考虑诊断为   

题型: 单选题 分类: 病理学
  • A.淋巴瘤侵犯骨髓
  • B.骨髓转移瘤
  • C.恶性组织细胞增生症
  • D.急性白血病
  • E.感染性疾病
备考星球小程序
关注【备考星球】小程序
移动端APP,让学习更便捷
提供搜题、在线问答、章节练习、历年真题
保存二维码图片,打开微信扫一扫
请输入手机号查看答案x

关注【备考星球】微信小程序

移动端 搜题、在线问答、章节练习、历年真题

  点击更换  更换验证码

Copyright © 无忧搜题 版权所有   豫ICP备2023010057号-1
卫生资格题库 执业医师题库 财务会计题库 建筑消防题库