微信扫码搜题

当前位置:

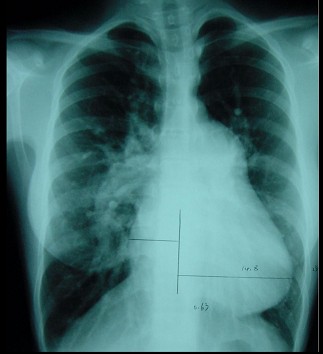
此心脏正位片描述正确的是 ( ) XXZ-1253.jpg

题型: 单选题 分类: 胸心外科学
  • A.“中间型”心脏
  • B.“二尖瓣型”心脏
  • C.“主动脉瓣型”心脏
  • D.“普大型”心脏
  • E.“横位型”心脏
备考星球小程序
关注【备考星球】小程序
移动端APP,让学习更便捷
提供搜题、在线问答、章节练习、历年真题
保存二维码图片,打开微信扫一扫
请输入手机号查看答案x

关注【备考星球】微信小程序

移动端 搜题、在线问答、章节练习、历年真题

  点击更换  更换验证码

Copyright © 无忧搜题 版权所有   豫ICP备2023010057号-1
卫生资格题库 执业医师题库 财务会计题库 建筑消防题库