微信扫码搜题

当前位置:

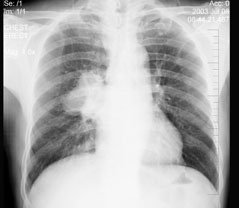
男性,59岁,痰中带血就诊,X线检查如图,最可能的诊断是 ( ) WXJ-0241.jpg

题型: 单选题 分类: 胸心外科学
  • A.肺转移瘤
  • B.右肺癌
  • C.结节病
  • D.右肺淋巴结肿大
  • E.支气管扩张
备考星球小程序
关注【备考星球】小程序
移动端APP,让学习更便捷
提供搜题、在线问答、章节练习、历年真题
保存二维码图片,打开微信扫一扫
请输入手机号查看答案x

关注【备考星球】微信小程序

移动端 搜题、在线问答、章节练习、历年真题

  点击更换  更换验证码

Copyright © 无忧搜题 版权所有   豫ICP备2023010057号-1
卫生资格题库 执业医师题库 财务会计题库 建筑消防题库