微信扫码搜题

当前位置:

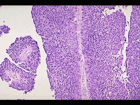
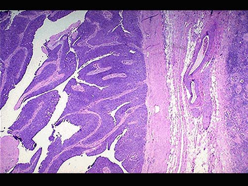
男,65岁。间歇性无痛性肉眼血尿1年。膀胱镜检:膀胱内距输尿管口0.5cm,可见2.5cm×1cm×1cm乳头状肿块,无蒂。静脉肾盂造影可见左肾轻度积水,输尿管全段轻度扩张。行膀胱部分切除后镜检如图所示,下列说法正确的是 ( )

题型: 单选题 分类: 病理学
  • A.该疾病好发部位为膀胱尖部
  • B.该疾病为膀胱透明细胞癌
  • C.该疾病手术后不易复发
  • D.常见的症状为无痛性血尿
  • E.发生在膀胱的肿瘤大部分为良性
备考星球小程序
关注【备考星球】小程序
移动端APP,让学习更便捷
提供搜题、在线问答、章节练习、历年真题
保存二维码图片,打开微信扫一扫
请输入手机号查看答案x

关注【备考星球】微信小程序

移动端 搜题、在线问答、章节练习、历年真题

  点击更换  更换验证码

Copyright © 无忧搜题 版权所有   豫ICP备2023010057号-1
卫生资格题库 执业医师题库 财务会计题库 建筑消防题库