微信扫码搜题

当前位置:

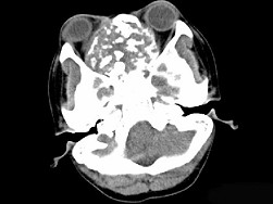
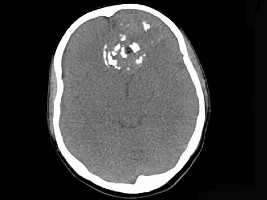
男性,28岁,因鼻塞、头痛1年余,鼻窦CT扫描如图所示,请选择正确的描述与结论 ( ) EBH-00091.jpg EBH-00092.jpg EBH-00093.jpg EBH-00094.jpg

题型: 多选题 分类: 耳鼻喉(头颈外科)学
  • A.肿块内密度不均,有较多致密钙化影
  • B.窦壁及颅底骨质破坏
  • C.双侧上颌窦、筛窦、鼻腔及蝶窦内见软组织肿块影
  • D.考虑为鼻窦软骨瘤
  • E.考虑鼻窦骨瘤
备考星球小程序
关注【备考星球】小程序
移动端APP,让学习更便捷
提供搜题、在线问答、章节练习、历年真题
保存二维码图片,打开微信扫一扫
请输入手机号查看答案x

关注【备考星球】微信小程序

移动端 搜题、在线问答、章节练习、历年真题

  点击更换  更换验证码

Copyright © 无忧搜题 版权所有   豫ICP备2023010057号-1
卫生资格题库 执业医师题库 财务会计题库 建筑消防题库