微信扫码搜题

当前位置:

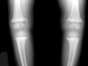
男,2岁,关节肿胀,结合图像,最可能的诊断是()


题型: 单选题 分类: 放射医学
  • A.肾性骨病
  • B.黏多糖贮积症
  • C.维生素D缺乏症
  • D.维生素C缺乏症
  • E.维生素D过多症
备考星球小程序
关注【备考星球】小程序
移动端APP,让学习更便捷
提供搜题、在线问答、章节练习、历年真题
保存二维码图片,打开微信扫一扫
请输入手机号查看答案x

关注【备考星球】微信小程序

移动端 搜题、在线问答、章节练习、历年真题

  点击更换  更换验证码

Copyright © 无忧搜题 版权所有   豫ICP备2023010057号-1
卫生资格题库 执业医师题库 财务会计题库 建筑消防题库