微信扫码搜题

当前位置:

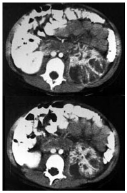
男,5岁,有尿路感染伴急性发热,CT增强扫描如图所示,最可能诊断为 ( )

题型: 单选题 分类: 泌尿外科学
  • A、左侧肾炎
  • B、左侧肾脓肿
  • C、左侧急性肾盂肾炎
  • D、左侧黄色肉芽肿性肾盂肾炎
  • E、左侧慢性肾盂肾炎
备考星球小程序
关注【备考星球】小程序
移动端APP,让学习更便捷
提供搜题、在线问答、章节练习、历年真题
保存二维码图片,打开微信扫一扫
请输入手机号查看答案x

关注【备考星球】微信小程序

移动端 搜题、在线问答、章节练习、历年真题

  点击更换  更换验证码

Copyright © 无忧搜题 版权所有   豫ICP备2023010057号-1
卫生资格题库 执业医师题库 财务会计题库 建筑消防题库