微信扫码搜题

当前位置:

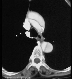
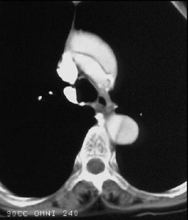
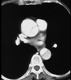
男,64岁,突感胸部剧痛2h,呈撕裂样,并向背部放射,有高血压病史10年,含服硝酸甘油3片不能缓解,CT检查如图所示。首先应考虑的诊断是 ( ) XN-09481.jpg XN-09482.jpg XN-09483.jpg

题型: 单选题 分类: 心血管内科
  • A.主动脉夹层
  • B.急性胆囊炎
  • C.急性胰腺炎
  • D.急性胸膜炎
  • E.急性心肌梗死
备考星球小程序
关注【备考星球】小程序
移动端APP,让学习更便捷
提供搜题、在线问答、章节练习、历年真题
保存二维码图片,打开微信扫一扫
请输入手机号查看答案x

关注【备考星球】微信小程序

移动端 搜题、在线问答、章节练习、历年真题

  点击更换  更换验证码

Copyright © 无忧搜题 版权所有   豫ICP备2023010057号-1
卫生资格题库 执业医师题库 财务会计题库 建筑消防题库