微信扫码搜题

当前位置:

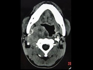
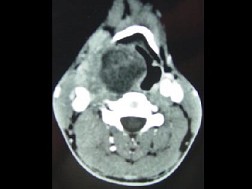
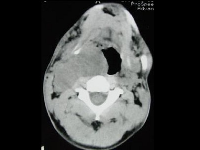
男,41岁,右侧咽部不适两年余,有异物感,声音嘶哑,CT如图所示,最可能诊断为 ( ) EBH-00941.jpg EBH-00942.jpg EBH-00943.jpg EBH-00944.jpg

题型: 单选题 分类: 耳鼻喉(头颈外科)学
  • A.咽旁转移癌
  • B.咽旁神经鞘膜瘤
  • C.颈动脉体瘤
  • D.咽旁淋巴瘤
  • E.小唾液腺瘤
备考星球小程序
关注【备考星球】小程序
移动端APP,让学习更便捷
提供搜题、在线问答、章节练习、历年真题
保存二维码图片,打开微信扫一扫
请输入手机号查看答案x

关注【备考星球】微信小程序

移动端 搜题、在线问答、章节练习、历年真题

  点击更换  更换验证码

Copyright © 无忧搜题 版权所有   豫ICP备2023010057号-1
卫生资格题库 执业医师题库 财务会计题库 建筑消防题库