微信扫码搜题

当前位置:

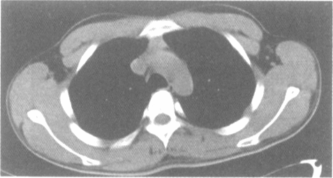
女,43岁,两眼不能完全睁开,全身无力2年余。胸部CT扫描前纵隔内发现肿块,如图,最可能的诊断是  

题型: 单选题 分类: 中级师.344放射医学
  • A.畸胎瘤
  • B.心包囊肿
  • C.气管囊肿
  • D.胸内甲状腺肿
  • E.胸腺瘤
备考星球小程序
关注【备考星球】小程序
移动端APP,让学习更便捷
提供搜题、在线问答、章节练习、历年真题
保存二维码图片,打开微信扫一扫
请输入手机号查看答案x

关注【备考星球】微信小程序

移动端 搜题、在线问答、章节练习、历年真题

  点击更换  更换验证码

Copyright © 无忧搜题 版权所有   豫ICP备2023010057号-1
卫生资格题库 执业医师题库 财务会计题库 建筑消防题库