微信扫码搜题

当前位置:

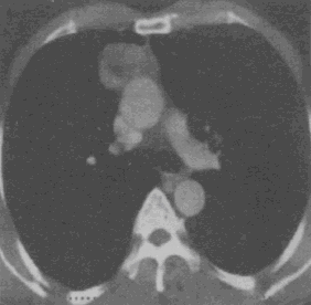
男,45岁,眼睑上抬困难3个月,CT检查如图。最可能的CT诊断为 YZ332_1_47_21.gif

题型: 单选题 分类: 053放射医学技术
  • A.畸胎瘤
  • B.神经纤维瘤
  • C.胸腺瘤
  • D.淋巴结增生
  • E.纵隔型肺癌
备考星球小程序
关注【备考星球】小程序
移动端APP,让学习更便捷
提供搜题、在线问答、章节练习、历年真题
保存二维码图片,打开微信扫一扫
请输入手机号查看答案x

关注【备考星球】微信小程序

移动端 搜题、在线问答、章节练习、历年真题

  点击更换  更换验证码

Copyright © 无忧搜题 版权所有   豫ICP备2023010057号-1
卫生资格题库 执业医师题库 财务会计题库 建筑消防题库