微信扫码搜题

当前位置:

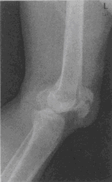
患者,男,24岁。外伤后膝部活动受限,肿胀疼痛。摄左膝部侧位X线片如图所示,影像学诊断为 YZ332_6_37_43.gif

题型: 单选题 分类: 053放射医学技术
  • A.膝关节脱位
  • B.胫骨平台骨折
  • C.髌骨横断骨折
  • D.髌骨粉碎性骨折
  • E.胫骨髁间隆突骨折
备考星球小程序
关注【备考星球】小程序
移动端APP,让学习更便捷
提供搜题、在线问答、章节练习、历年真题
保存二维码图片,打开微信扫一扫
请输入手机号查看答案x

关注【备考星球】微信小程序

移动端 搜题、在线问答、章节练习、历年真题

  点击更换  更换验证码

Copyright © 无忧搜题 版权所有   豫ICP备2023010057号-1
卫生资格题库 执业医师题库 财务会计题库 建筑消防题库