微信扫码搜题

当前位置:

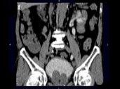
男,72岁,排尿困难1年余,无手术病史,CT扫描如图所示,下列说法正确的是?(?)



题型: 多选题 分类: 放射医学
  • A.一侧肾脏缺如
  • B.膀胱的后上方可见一囊性肿物,该囊性肿物与膀胱相通
  • C.考虑为先天性孤立肾
  • D.该囊性肿物考虑为膀胱憩室
  • E.该囊性肿物考虑为输尿管囊肿
备考星球小程序
关注【备考星球】小程序
移动端APP,让学习更便捷
提供搜题、在线问答、章节练习、历年真题
保存二维码图片,打开微信扫一扫
请输入手机号查看答案x

关注【备考星球】微信小程序

移动端 搜题、在线问答、章节练习、历年真题

  点击更换  更换验证码

Copyright © 无忧搜题 版权所有   豫ICP备2023010057号-1
卫生资格题库 执业医师题库 财务会计题库 建筑消防题库