微信扫码搜题

当前位置:

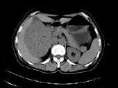
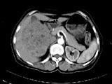
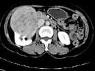
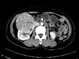
女,57岁,右腰部胀痛6月余,触及右侧腹部包块2月,CT平扫及增强如图所示,下列说法正确的是?(?)



题型: 多选题 分类: 放射医学
  • A.平扫时可见右侧腹部巨大的软组织肿块影,其内可见小片状的低密度影
  • B.增强扫描肿块强化明显,其内可见无强化的低密度坏死灶
  • C.考虑肿块来源于肝脏,是原发性肝癌,并挤压推移右肾
  • D.考虑肿块来源于右肾,是巨大的肾癌,并挤压推移右肝,与其分界欠清
  • E.考虑肿块来源于右肾,是肾血管平滑肌脂肪瘤,并挤压推移右肝,与其分界欠清
备考星球小程序
关注【备考星球】小程序
移动端APP,让学习更便捷
提供搜题、在线问答、章节练习、历年真题
保存二维码图片,打开微信扫一扫
请输入手机号查看答案x

关注【备考星球】微信小程序

移动端 搜题、在线问答、章节练习、历年真题

  点击更换  更换验证码

Copyright © 无忧搜题 版权所有   豫ICP备2023010057号-1
卫生资格题库 执业医师题库 财务会计题库 建筑消防题库