微信扫码搜题

当前位置:

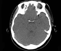
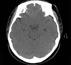
女,31岁,在左眶外上缘发现一包块,质软,余所见无明显异常。如图所示病灶应诊断为 ( ) 2YJB-16841.jpg 2YJB-16842.jpg 2YJB-16843.jpg 2YJB-16844.jpg

题型: 单选题 分类: 眼科学
  • A.畸胎瘤
  • B.错构瘤
  • C.脂肪瘤
  • D.表皮样囊肿
  • E.淋巴管瘤
备考星球小程序
关注【备考星球】小程序
移动端APP,让学习更便捷
提供搜题、在线问答、章节练习、历年真题
保存二维码图片,打开微信扫一扫
请输入手机号查看答案x

关注【备考星球】微信小程序

移动端 搜题、在线问答、章节练习、历年真题

  点击更换  更换验证码

Copyright © 无忧搜题 版权所有   豫ICP备2023010057号-1
卫生资格题库 执业医师题库 财务会计题库 建筑消防题库