微信扫码搜题

当前位置:

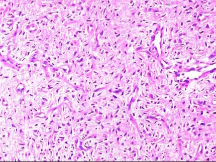
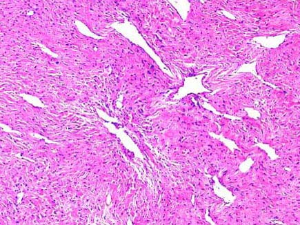
患者,男,18岁,鼻塞、鼻出血,鼻腔镜检查见一鲜红色圆形肿物凸向鼻腔,约2cm×1cm×0.5cm大小,表面光滑,活检如图1、2所示,正确的诊断是 ( )

题型: 单选题 分类: 病理学
  • A.鼻息肉
  • B.鼻腔内翻性乳头状瘤
  • C.鼻腔纤维肉瘤
  • D.鼻腔淋巴瘤
  • E.鼻腔纤维血管瘤
备考星球小程序
关注【备考星球】小程序
移动端APP,让学习更便捷
提供搜题、在线问答、章节练习、历年真题
保存二维码图片,打开微信扫一扫
请输入手机号查看答案x

关注【备考星球】微信小程序

移动端 搜题、在线问答、章节练习、历年真题

  点击更换  更换验证码

Copyright © 无忧搜题 版权所有   豫ICP备2023010057号-1
卫生资格题库 执业医师题库 财务会计题库 建筑消防题库