微信扫码搜题

当前位置:

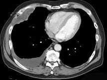
70岁,男,以前是管道安装工,有石棉接触史,也有很长的吸烟史,请结合CT检查选出最可能的诊断 ( ) HX-2864.jpg

题型: 单选题 分类: 呼吸内科
  • A.胸膜间皮瘤
  • B.神经鞘瘤
  • C.胸膜肥厚
  • D.淋巴瘤
  • E.石棉肺
备考星球小程序
关注【备考星球】小程序
移动端APP,让学习更便捷
提供搜题、在线问答、章节练习、历年真题
保存二维码图片,打开微信扫一扫
请输入手机号查看答案x

关注【备考星球】微信小程序

移动端 搜题、在线问答、章节练习、历年真题

  点击更换  更换验证码

Copyright © 无忧搜题 版权所有   豫ICP备2023010057号-1
卫生资格题库 执业医师题库 财务会计题库 建筑消防题库