微信扫码搜题

当前位置:

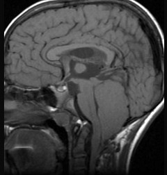
第四脑室室管膜瘤(如图所示)临床特点包括 ( ) NSJ-1192.jpg

题型: 多选题 分类: 副高神经外科学
  • A.颅内高压症状较早
  • B.多以头痛为首发症状
  • C.伴有呕吐、头晕及强迫头位
  • D.肿瘤增大累及小脑蚓部或半球时,可出现平衡障碍、步态不稳和共济失调等
  • E.当肿瘤压迫脑干或脑神经时,可出现相应的脑神经障碍
备考星球小程序
关注【备考星球】小程序
移动端APP,让学习更便捷
提供搜题、在线问答、章节练习、历年真题
保存二维码图片,打开微信扫一扫
请输入手机号查看答案x

关注【备考星球】微信小程序

移动端 搜题、在线问答、章节练习、历年真题

  点击更换  更换验证码

Copyright © 无忧搜题 版权所有   豫ICP备2023010057号-1
卫生资格题库 执业医师题库 财务会计题库 建筑消防题库