微信扫码搜题

当前位置:

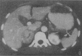
患者,女,36岁。高血压3年。CT图像见图。最有可能的诊断是 YZ332_1_60_55.gif YZ332_1_60_55_1.gif

题型: 单选题 分类: 053放射医学技术
  • A.肾上腺增生
  • B.肾上腺腺瘤
  • C.肾上腺腺癌
  • D.肾上腺囊肿
  • E.嗜铬细胞瘤
备考星球小程序
关注【备考星球】小程序
移动端APP,让学习更便捷
提供搜题、在线问答、章节练习、历年真题
保存二维码图片,打开微信扫一扫
请输入手机号查看答案x

关注【备考星球】微信小程序

移动端 搜题、在线问答、章节练习、历年真题

  点击更换  更换验证码

Copyright © 无忧搜题 版权所有   豫ICP备2023010057号-1
卫生资格题库 执业医师题库 财务会计题库 建筑消防题库