微信扫码搜题

当前位置:

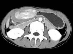
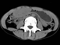
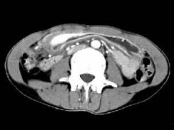
根据所提供的图像,最可能的诊断为()



题型: 单选题 分类: 放射医学
  • A.胃淋巴瘤
  • B.胃癌
  • C.胃炎性病变
  • D.胃平滑肌瘤
  • E.间质瘤
备考星球小程序
关注【备考星球】小程序
移动端APP,让学习更便捷
提供搜题、在线问答、章节练习、历年真题
保存二维码图片,打开微信扫一扫
请输入手机号查看答案x

关注【备考星球】微信小程序

移动端 搜题、在线问答、章节练习、历年真题

  点击更换  更换验证码

Copyright © 无忧搜题 版权所有   豫ICP备2023010057号-1
卫生资格题库 执业医师题库 财务会计题库 建筑消防题库