微信扫码搜题

当前位置:

患者男性,28岁,因尿频,尿急,左侧睾丸疼痛3个月就诊。当地医院诊断为慢性前列腺炎,口服左氧氟沙星1个月,症状略好转。现因病情反复来诊。查体:左侧附睾可触及黄豆大小包块。尿常规:白细胞15个/HP,红细胞10个/HP。前列腺液常规:卵磷脂小体50%,白细胞15个/HP。

题型: 共用材料 分类: 泌尿外科学

对该患者下一步较为合理的治疗方式为( )【提示】患者红细胞沉降率80mm/h。

题型: 单选题
  • A、抗生素治疗
  • B、抗结核治疗
  • C、左肾切除术
  • D、左肾造瘘术
  • E、左侧肾盂输尿管成型术
  • F、放置DJ管

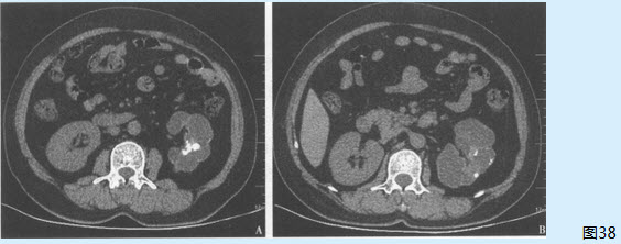
该患者可能的诊断是( )【提示】患者完善了CT检查(图38)。

图38

题型: 单选题
  • A、左肾结石
  • B、左肾积水
  • C、左肾囊肿
  • D、左肾结核
  • E、左侧肾盂输尿管交界部狭窄
  • F、左肾肿瘤

该患者需进一步完善具有重要诊断价值的检查是( )

题型: 单选题
  • A、泌尿系超声
  • B、泌尿系CT
  • C、磁共振尿路水成像(MRU)
  • D、阴囊彩色多普勒超声
  • E、腹部泌尿系X线平片(KUB)+静脉肾盂造影(IVP)
  • F、尿细菌培养

对该患者下一步的处理方式为( )【提示】患者经6个月抗结核治疗后,左侧阴囊区包块增大,约5cm×5cm。

题型: 单选题
  • A、更换抗结核药物
  • B、抗生素治疗
  • C、中药治疗
  • D、物理治疗
  • E、放疗
  • F、手术治疗
备考星球小程序
关注【备考星球】小程序
移动端APP,让学习更便捷
提供搜题、在线问答、章节练习、历年真题
保存二维码图片,打开微信扫一扫
请输入手机号查看答案x

关注【备考星球】微信小程序

移动端 搜题、在线问答、章节练习、历年真题

  点击更换  更换验证码

Copyright © 无忧搜题 版权所有   豫ICP备2023010057号-1
卫生资格题库 执业医师题库 财务会计题库 建筑消防题库