微信扫码搜题

当前位置:

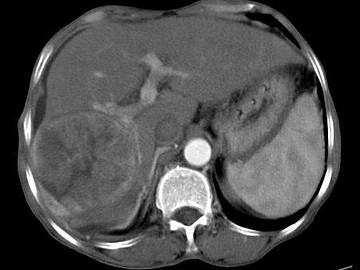
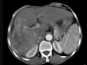
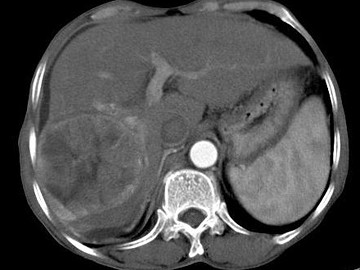
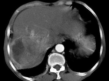
女,40岁,有口服避孕药史,肝区疼痛、腹部包块,AFP阴性,CT扫描如图,最可能的诊断是()



题型: 单选题 分类: 放射医学
  • A.肝细胞腺瘤
  • B.肝再生结节
  • C.结节性肝癌
  • D.肝右叶巨块型肝癌
  • E.肝黄色肉芽肿
备考星球小程序
关注【备考星球】小程序
移动端APP,让学习更便捷
提供搜题、在线问答、章节练习、历年真题
保存二维码图片,打开微信扫一扫
请输入手机号查看答案x

关注【备考星球】微信小程序

移动端 搜题、在线问答、章节练习、历年真题

  点击更换  更换验证码

Copyright © 无忧搜题 版权所有   豫ICP备2023010057号-1
卫生资格题库 执业医师题库 财务会计题库 建筑消防题库