微信扫码搜题

当前位置:

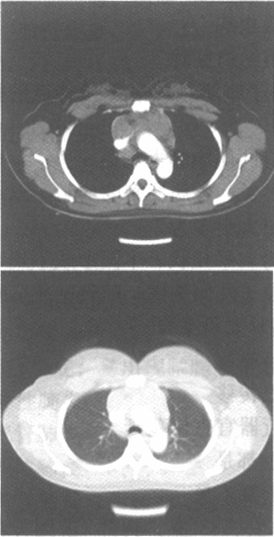
女,23岁,胸闷、气促1个月余,左锁骨上触及无痛性肿大淋巴结。胸部CT增强扫描片如图,最可能的诊断为  

题型: 单选题 分类: 中级师.344放射医学
  • A.淋巴瘤
  • B.肺动脉栓塞
  • C.右上肺肺癌
  • D.非侵袭性胸腺瘤
  • E.结节病
备考星球小程序
关注【备考星球】小程序
移动端APP,让学习更便捷
提供搜题、在线问答、章节练习、历年真题
保存二维码图片,打开微信扫一扫
请输入手机号查看答案x

关注【备考星球】微信小程序

移动端 搜题、在线问答、章节练习、历年真题

  点击更换  更换验证码

Copyright © 无忧搜题 版权所有   豫ICP备2023010057号-1
卫生资格题库 执业医师题库 财务会计题库 建筑消防题库