微信扫码搜题

当前位置:

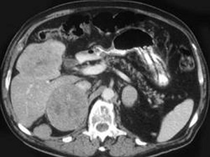
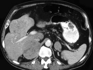
男性,60岁,曾患乙肝,肝硬化多年,右上腹胀痛1月余,AFP为80.8μg/L,CT检查如图所示,最佳的诊断是 ( ) CY-00021.jpg CY-00022.jpg

题型: 单选题 分类: 传染病学
  • A.肝腺瘤、右肾上腺腺瘤
  • B.肝结节性增生、右肾上腺瘤
  • C.肝、右肾上腺均为转移瘤
  • D.肾上腺癌肝转移
  • E.肝癌右肾上腺转移
备考星球小程序
关注【备考星球】小程序
移动端APP,让学习更便捷
提供搜题、在线问答、章节练习、历年真题
保存二维码图片,打开微信扫一扫
请输入手机号查看答案x

关注【备考星球】微信小程序

移动端 搜题、在线问答、章节练习、历年真题

  点击更换  更换验证码

Copyright © 无忧搜题 版权所有   豫ICP备2023010057号-1
卫生资格题库 执业医师题库 财务会计题库 建筑消防题库