微信扫码搜题

当前位置:

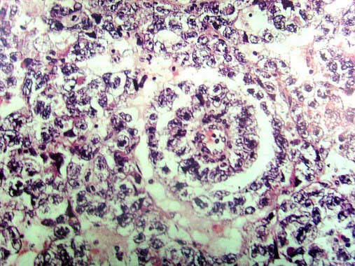
男性,3岁,发现阴囊肿块1月余,血AFP(+),HCG(-)。切除右侧睾丸,大体见睾丸内一肿块3cm×2cm×2cm,实性,质地软,切面灰红。镜检肿瘤由疏松网状结构伴蜂窝样微囊组成,囊壁内衬扁平、多形的间皮样细胞,核染色质多,核分裂易见,并见S-D小体(如图),应诊断为 ( )

题型: 单选题 分类: 病理学
  • A.睾丸卵黄囊瘤
  • B.睾丸胚胎性癌
  • C.睾丸精原细胞瘤
  • D.绒毛膜上皮癌
  • E.睾丸结核
备考星球小程序
关注【备考星球】小程序
移动端APP,让学习更便捷
提供搜题、在线问答、章节练习、历年真题
保存二维码图片,打开微信扫一扫
请输入手机号查看答案x

关注【备考星球】微信小程序

移动端 搜题、在线问答、章节练习、历年真题

  点击更换  更换验证码

Copyright © 无忧搜题 版权所有   豫ICP备2023010057号-1
卫生资格题库 执业医师题库 财务会计题库 建筑消防题库