微信扫码搜题

当前位置:

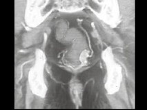
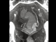
男,50岁,血便,大便形状改变,CT如图所示,最可能的诊断是()

题型: 单选题 分类: 放射医学
  • A.直肠息肉
  • B.直肠内粪便
  • C.直肠癌
  • D.直肠腺瘤
  • E.直肠淋巴瘤
备考星球小程序
关注【备考星球】小程序
移动端APP,让学习更便捷
提供搜题、在线问答、章节练习、历年真题
保存二维码图片,打开微信扫一扫
请输入手机号查看答案x

关注【备考星球】微信小程序

移动端 搜题、在线问答、章节练习、历年真题

  点击更换  更换验证码

Copyright © 无忧搜题 版权所有   豫ICP备2023010057号-1
卫生资格题库 执业医师题库 财务会计题库 建筑消防题库