微信扫码搜题

当前位置:

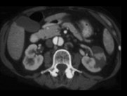
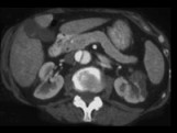
男,54岁,请根据所示图像,选择最可能诊断 ( ) XL-90171.jpg XL-90172.jpg

题型: 多选题 分类: 肾内科
  • A.主动脉夹层
  • B.左侧肾积水
  • C.左侧肾梗死
  • D.左侧肾脓肿
  • E.左侧肾囊肿
备考星球小程序
关注【备考星球】小程序
移动端APP,让学习更便捷
提供搜题、在线问答、章节练习、历年真题
保存二维码图片,打开微信扫一扫
请输入手机号查看答案x

关注【备考星球】微信小程序

移动端 搜题、在线问答、章节练习、历年真题

  点击更换  更换验证码

Copyright © 无忧搜题 版权所有   豫ICP备2023010057号-1
卫生资格题库 执业医师题库 财务会计题库 建筑消防题库