微信扫码搜题

当前位置:

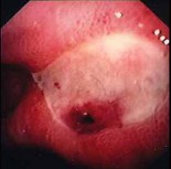
患者,男,50岁,反复上腹痛2年,加重呕血1天入院。查体:贫血貌,心肺腹未见异常。电子胃镜如图所示,目前最好的治疗方法为 ( ) 1XH-00601.jpg 1XH-00602.jpg 1XH-00603.jpg 1XH-00604.jpg

题型: 单选题 分类: 消化内科
  • A.外科手术治疗
  • B.内科静脉注射止血药
  • C.内镜下注射止血药
  • D.在DSA下行血管栓塞治疗
  • E.口服去甲肾上腺素
备考星球小程序
关注【备考星球】小程序
移动端APP,让学习更便捷
提供搜题、在线问答、章节练习、历年真题
保存二维码图片,打开微信扫一扫
请输入手机号查看答案x

关注【备考星球】微信小程序

移动端 搜题、在线问答、章节练习、历年真题

  点击更换  更换验证码

Copyright © 无忧搜题 版权所有   豫ICP备2023010057号-1
卫生资格题库 执业医师题库 财务会计题库 建筑消防题库