微信扫码搜题

当前位置:

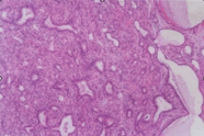
图片显示的是乳腺病变

题型: 共用材料 分类: 病理学

该乳腺病变的组织学特点是

题型: 单选题
  • A.一般不形成小叶结构,腺体衬覆单层立方上皮,没有肌上皮
  • B.小叶扩大,腺泡导管化
  • C.小叶结构尚存,增生的腺管受挤压明显,呈长圆形,外围肌上皮
  • D.只有导管形成,一般不形成小叶
  • E.形成小叶结构,增生的腺管受挤压明显,呈长圆形,外无肌上皮

该乳腺病变的预后意义

题型: 单选题
  • A.是癌前病变,易恶变为小叶原位癌
  • B.是癌前病变,易恶变为浸润性小叶癌
  • C.是癌前病变,易恶变为小管癌
  • D.是癌前病变,易恶变为导管癌
  • E.一般不会癌变

该乳腺病变多见于

题型: 单选题
  • A.育龄妇女
  • B.绝经后妇女
  • C.青少年女性
  • D.青春期和更年期
  • E.妊娠哺乳期

该乳腺病变最可能的病理诊断是

题型: 单选题
  • A.小叶增生
  • B.硬化性腺病
  • C.盲管腺病
  • D.微小腺体腺病
  • E.男性乳腺发育
备考星球小程序
关注【备考星球】小程序
移动端APP,让学习更便捷
提供搜题、在线问答、章节练习、历年真题
保存二维码图片,打开微信扫一扫
请输入手机号查看答案x

关注【备考星球】微信小程序

移动端 搜题、在线问答、章节练习、历年真题

  点击更换  更换验证码

Copyright © 无忧搜题 版权所有   豫ICP备2023010057号-1
卫生资格题库 执业医师题库 财务会计题库 建筑消防题库