微信扫码搜题

当前位置:

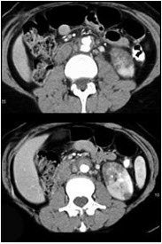
女,29岁,尿频、尿痛伴寒战高热3天。尿检:白细胞(+++),请结合图片作出最佳诊断 ( )

题型: 单选题 分类: 泌尿外科学
  • A、左侧肾癌
  • B、左侧急性肾盂肾炎
  • C、左侧肾脓肿
  • D、左侧肾结核
  • E、左侧肾囊肿合并感染
备考星球小程序
关注【备考星球】小程序
移动端APP,让学习更便捷
提供搜题、在线问答、章节练习、历年真题
保存二维码图片,打开微信扫一扫
请输入手机号查看答案x

关注【备考星球】微信小程序

移动端 搜题、在线问答、章节练习、历年真题

  点击更换  更换验证码

Copyright © 无忧搜题 版权所有   豫ICP备2023010057号-1
卫生资格题库 执业医师题库 财务会计题库 建筑消防题库